Dinți încălecați: cauze, opțiuni și când începi tratamentul

Dinți încălecați: cauze, opțiuni și când începi tratamentul - Main Image

Dinții încălecați (înghesuirea dentară) sunt una dintre cele mai frecvente motive pentru care pacienții ajung la ortodont: dinții par „înghesuiți”, se suprapun, se rotesc sau „ies” în față, iar zâmbetul nu mai pare armonios. Vestea bună este că, în majoritatea cazurilor, problema se poate corecta predictibil, mai ales când există un diagnostic complet și un plan personalizat.

Mai jos găsești o explicație clară despre cauze, opțiuni de tratament (copii și adulți) și momentul potrivit să începi.

Ce înseamnă, de fapt, „dinți încălecați”

„Dinți încălecați” descrie o situație în care spațiul disponibil pe arcadă nu este suficient pentru dimensiunea și poziția dinților. Consecința este înghesuirea: dinți suprapuși, rotați, migrați în afara arcadei sau blocați în erupție.

Înghesuirea poate apărea:

  • doar la incisivi (față)
  • pe toată arcada
  • la maxilar, mandibulă sau ambele
  • împreună cu probleme de mușcătură (mușcătură adâncă, inversă, ocluzie incorectă)

De ce apar dinții încălecați: cele mai comune cauze

Înghesuirea nu are o singură cauză. De cele mai multe ori este rezultatul unui „mix” între genetică, creștere și obiceiuri.

1) Moștenirea genetică (dimensiunea dinților și a maxilarelor)

Una dintre cele mai frecvente situații este discrepanța între dinți mai mari și arcade mai înguste. Poți moșteni forma maxilarului de la un părinte și dimensiunea dinților de la celălalt, iar rezultatul să fie lipsa de spațiu.

2) Pierderea timpurie a dinților de lapte

Când un dinte de lapte se pierde prea devreme (de obicei din cauza cariilor), dinții vecini pot migra în spațiul rămas liber. Ulterior, dintele permanent nu mai are loc să erupă corect și apare înghesuirea.

3) Întârzierea erupției sau dinți „blocați”

Anumiți dinți (mai ales caninii) pot întârzia să erupă sau se pot poziționa nefavorabil. Dacă spațiul nu este ghidat la timp, dinții pot erupe în afara arcadei sau pot rămâne incluși.

4) Obiceiuri și respirație orală (în unele cazuri)

Anumite obiceiuri (sugerea degetului, împingerea limbii), obstrucțiile nazale cronice și respirația orală pot influența dezvoltarea arcadelor în perioada de creștere, contribuind la îngustare și la înghesuire.

5) Măselele de minte: mit vs realitate

Măselele de minte sunt adesea „învinovățite” pentru dinții înghesuiți. În realitate, înghesuirea de la incisivi la adult apare frecvent și din motive naturale (maturizarea ocluziei, schimbări subtile ale arcadelor în timp). Măselele de minte pot agrava disconfortul sau pot crea probleme locale, dar nu sunt singura explicație pentru înghesuirea anterioară.

Cum îți dai seama dacă înghesuirea necesită tratament

Înghesuirea poate fi doar estetică, dar adesea are implicații funcționale și de sănătate orală.

Semne frecvente:

  • dinți suprapuși sau rotați care „țin” placa bacteriană
  • sângerări gingivale recurente în zone greu de curățat
  • uzură neuniformă a dinților (contacte incorecte)
  • mușcarea obrazului sau a buzei din cauza pozițiilor greșite
  • dificultate la folosirea aței dentare între dinții înghesuiți
  • recidivă după un tratament vechi (dinții „se înghesuie la loc”)

Din perspectivă medicală, dinții înghesuiți pot crește riscul de inflamație gingivală și carii prin igienizare dificilă. Un consult ortodontic clarifică dacă problema este doar de aliniere sau include și o problemă de mușcătură (care, netratată, poate accentua uzura dentară).

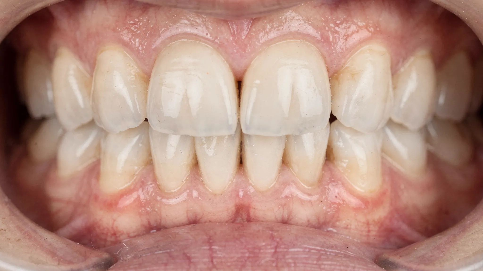
Prim-plan al unei arcade dentare cu dinți înghesuiți și suprapuși, evidențiind zonele greu de igienizat dintre incisivi și canini.

Când începi tratamentul pentru dinți încălecați

Momentul ideal depinde de vârstă, de dentiție (temporară, mixtă, permanentă) și de cauza înghesuirii.

La copii: de ce evaluarea timpurie contează

Chiar dacă mulți părinți asociază aparatul dentar cu adolescența, screeningul ortodontic se recomandă mai devreme. De exemplu, American Association of Orthodontists menționează evaluarea ortodontică în jurul vârstei de 7 ani, tocmai pentru a identifica din timp probleme de dezvoltare.

În înghesuire, un control timpuriu poate ajuta să:

  • monitorizezi erupția dinților permanenți
  • previi blocarea unor dinți (ex: caninii)
  • reduci severitatea înghesuirii prin tratamente interceptive (când sunt indicate)

Notă importantă: evaluarea la 7 ani nu înseamnă că toți copiii au nevoie de aparat atunci. Înseamnă că există șansa de a alege momentul potrivit și varianta potrivită.

La adolescenți: „fereastra” clasică pentru aliniere completă

Adolescența rămâne perioada în care se realizează frecvent tratamentul complet, pentru că majoritatea dinților permanenți sunt prezenți, iar țesuturile răspund eficient la mișcări ortodontice.

La adulți: nu este „prea târziu”

Tratamentul ortodontic este posibil și la adult, cu condiția unei evaluări corecte a gingiilor și a osului de susținere. De multe ori, adulții cer aliniere pentru estetică, dar beneficiile includ și igienă mai ușoară și stabilitate ocluzală.

Opțiuni de tratament pentru dinți încălecați

Tratamentul depinde de severitate, de forma arcadelor, de profilul facial, de mușcătură și de obiective (estetică, funcție, stabilitate). În ortodonția modernă, planificarea digitală 3D ajută la alegerea celei mai potrivite strategii și la estimarea realistă a etapelor.

Mai jos sunt opțiuni uzuale pe care ortodontul le poate recomanda, singure sau în combinație.

Alignere transparente (gutieră)

Alignerele sunt o opțiune populară pentru înghesuiri ușoare până la moderate și pentru pacienți care își doresc un aparat discret.

Pot fi potrivite când:

  • înghesuirea permite mișcări previzibile fără mecanici complexe
  • pacientul poate purta alignerele conform recomandării medicului
  • se urmărește o estetică foarte bună pe durata tratamentului

În cabinet, planificarea 3D arată secvențial cum se mișcă dinții și ce spațiu se creează. Dr. Monica Filipescu lucrează în ortodonție digitală și este SPARK Sapphire Elite Provider, ceea ce poate fi relevant pentru pacienții interesați de tratament cu alignere.

Aparat dentar fix (metalic, ceramic, estetic)

Aparatul fix este o soluție foarte eficientă pentru o gamă largă de înghesuiri, inclusiv cazuri complexe sau când există modificări importante de mușcătură.

Este ales frecvent când:

  • înghesuirea este severă
  • există rotații importante, mușcătură incorectă sau asimetrii
  • este nevoie de control biomecanic fin al mișcărilor dentare

Crearea spațiului: cum „se face loc” pentru dinți

Mulți pacienți întreabă direct: „dacă nu e loc, cum îi îndreptați?”. În practică, spațiul se poate obține prin mai multe metode, iar alegerea depinde de analiză.

Cele mai comune abordări includ:

  • expansiune dentară sau ortopedică (în special la copii și adolescenți, când creșterea poate fi ghidată)
  • reducție interproximală controlată (IPR), adică o ajustare milimetrică între dinți, strict planificată și indicată în anumite cazuri
  • distalizare (mutarea unor dinți posterior pentru a crea spațiu anterior), în cazuri selectate
  • extracții (doar când diagnosticul arată că este cea mai sănătoasă și stabilă opțiune pentru aliniere și profil), decizie care se ia cu mare atenție

Important: extracțiile nu sunt „soluția standard” pentru înghesuire, dar nici nu trebuie respinse automat. În unele cazuri, ele pot oferi stabilitate și echilibru facial pe termen lung. Planificarea 3D și analiza clinică sunt esențiale înainte de a alege.

Tratament interceptiv la copii (când este indicat)

La copii, abordarea poate fi diferită: scopul poate fi să creezi condiții bune pentru erupția dinților permanenți, să reduci severitatea înghesuirii și să ghidezi creșterea.

Exemple de situații în care se discută tratament interceptiv:

  • arcade înguste cu lipsă de spațiu evidentă
  • erupție deviată a dinților permanenți
  • pierderi precoce de dinți de lapte și migrarea dinților vecini

Pentru detalii despre timing la copii, poți consulta și articolul dedicat de pe site: De la ce vârstă se pune aparatul dentar la copii?

Cum alegi între alignere și aparat fix pentru dinți încălecați

Nu există „cel mai bun aparat” în general. Există aparatul potrivit pentru cazul tău.

Criteriu Alignere transparente Aparat dentar fix
Estetică pe durata tratamentului Foarte discret Depinde de tip (ceramic mai discret, metalic mai vizibil)
Cooperarea pacientului Foarte importantă (purtare consecventă) Mai puțin dependent de cooperare (dar igiena și controalele rămân esențiale)
Înghesuiri complexe și mușcături dificile Posibil în unele cazuri, în funcție de plan De regulă foarte eficient pentru mecanici complexe
Igienă Mai ușor, se scot la periaj Necesită atenție sporită la periaj în jurul brackeților
Planificare Plan 3D și etape secvențiale Plan ortodontic, control prin activări periodice

Dacă vrei o comparație mai amplă (avantaje, limitări, criterii de alegere), există și ghidul: Aparat pentru îndreptarea dinților: cum alegi varianta potrivită

Cum decurge diagnosticul în ortodonția digitală (și de ce contează în înghesuire)

Pentru dinți încălecați, „să-i îndreptăm” nu înseamnă doar să-i punem drepți în față, ci să obținem:

  • spațiu corect pentru fiecare dinte
  • o mușcătură stabilă
  • un rezultat armonios cu fața și cu zâmbetul
  • un plan de retenție care să reducă riscul de recidivă

Într-un flux modern de ortodonție digitală, medicul poate folosi investigații și înregistrări care ajută la un plan mai predictibil (de exemplu, scanări intraorale, fotografii, radiografii, analiză ocluzală). Rezultatul este un plan personalizat, adaptat obiectivelor și limitărilor biologice ale cazului.

Ilustrație simplă a fluxului de ortodonție digitală: scanare 3D, planificare pe model virtual, simulare a alinierii și rezultat final al zâmbetului.

Ce se întâmplă dacă amâni tratamentul

Nu fiecare înghesuire se agravează rapid, dar amânarea poate duce la complicații, mai ales când igiena este dificilă sau există o mușcătură instabilă.

Posibile consecințe:

  • inflamație gingivală recurentă în zonele aglomerate
  • risc crescut de carii interdentare (mai greu de curățat)
  • uzură dentară inegală din cauza contactelor incorecte
  • migrarea dinților și accentuarea înghesuirii în timp

Dacă ai dureri, sângerări gingivale frecvente sau observi că dinții „se mișcă”, e util să programezi o evaluare cât mai curând.

După îndreptare: retenția este partea care păstrează rezultatul

Un aspect esențial, adesea subestimat, este retenția. Dinții au tendința naturală de a reveni parțial către pozițiile inițiale, mai ales în zona frontală.

În funcție de caz, medicul poate recomanda:

  • contenție fixă (un fir subțire lipit în spatele dinților frontali)
  • gutiere de contenție purtate conform indicației

Fără contenție, riscul de recidivă crește, indiferent că ai avut alignere sau aparat fix.

Întrebări frecvente (FAQ)

Dinții încălecați se pot îndrepta fără aparat? În majoritatea cazurilor, nu. Înghesuirea implică lipsă de spațiu și poziții dentare incorecte, iar corecția predictibilă se face prin tratament ortodontic (alignere sau aparat fix), pe baza unui plan.

Dinții încălecați la copii se corectează singuri? Uneori, alinierea se poate îmbunătăți odată cu creșterea, dar nu este o regulă. O evaluare ortodontică timpurie poate identifica dacă există risc de înghesuire severă sau dinți blocați.

Este necesară extracția pentru dinți încălecați? Nu automat. Există multiple metode de creare a spațiului (expansiune, IPR, distalizare). Extracțiile se iau în calcul doar când sunt cea mai sănătoasă opțiune pentru stabilitate, mușcătură și armonie facială.

Alignerele sunt eficiente pentru dinți încălecați? Pot fi foarte eficiente în multe cazuri ușoare și moderate, iar uneori și în cazuri mai complexe, în funcție de diagnostic și de cooperarea pacientului.

Cât durează tratamentul pentru dinți încălecați? Depinde de severitate, mușcătură, sănătatea gingiilor și consecvență. Ca reper orientativ, multe tratamente se încadrează între 12 și 24 de luni, dar doar consultul poate estima realist durata. Poți citi și: Cât durează tratamentul cu aparat dentar la adulți?

Programează o consultație pentru dinți încălecați în București

Dacă ai dinți încălecați și vrei să înțelegi clar ce opțiuni ai (alignere, aparat fix, soluții minim invazive) și când este cel mai bine să începi, următorul pas este un diagnostic complet și un plan personalizat.

Dr. Monica Filipescu oferă ortodonție digitală în București cu planificare 3D și abordare orientată către rezultate naturale și stabile. Te poți programa online aici: drfilipescu.ro.

Lasă un răspuns

Adresa ta de email nu va fi publicată. Câmpurile obligatorii sunt marcate cu *